Sadržaj s oznakom: Beba

Bebe imaju svoj vlastiti jezik koji odrasli ne razumiju, dok se za blizance veže pretpostavka da ih gotovo 50 posto razvije vlastiti specifičan jezik.

Amy Jedrysek je majka koja je odlučila na Facebooku podijeliti sliku svoje bebe s ultrazvuka na kojoj se čini kao da poručuje „bok mama!“ kako bi na taj način pokazala da pobornici pobačaja lažu kada kažu da je to samo „tkivo“ ili „još nije osoba“.

“Dnevnik nerođenog djeteta” opisuje djetetov život od njegova začeća u majčinoj utrobi do dana kad dijete osjeti:

Nema ljepšeg osjećaja nego kada se dijete prvi put osmjehne.

Svaka mama pamti kada je prvi put osjetila da se njezina beba pomaknula u maternici a kada je prvi puta ugleda pomoću ultrazvuka trenutak je kojeg će se zauvijek sjećati. 

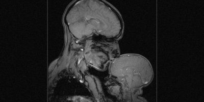
Neuroznanstvenica i majka dvomjesečnog sinčića snimila je nevjerojatnu sliku magnetske rezonancije koja pokazuje snažnu vezu između majke i djeteta.

Snimka koja se pojavila na YouTubeu već je pregledana više od dva miliona puta.

.Na današnji dan, 15. listopada obilježava se Dan sjećanja na malene anđele.

Sherry i Ron osam su godina čeznuli za vlastitim djetetom.

Mnogi ljudi vole da pjevaju i od malih nogu su članovi zborova ili pohađaju glazbenu školu. Također, ljudi se dijele na one koji više vole pjevati ili više plesati. Beba u ovome videu je pravi budući glazbenik.

Ovaj događaj dogodio se u Italiji prije dvije godine, a dokaz je da je tajna života izvan svake ljudske moći i nadvladava svaku ljudsku prognozu

Bila sam u 20. tjednu trudnoće kada smo moj muž i ja dobili vijest da nosim djevojčicu!

Bračni par glazbenika “Us The Duo” svoju ljubav prema glazbi dijeli i s prinovom pa su roditelji na društvenim mrežama podijelili snimku na kojoj mala Xyla Rose uživa u maminu pjevanju i tatinu sviranju.

Rođen je kao nedonošče s tek 268 grama, pet mjeseci proveo je na intenzivnoj njezi, ova beba spremna je suočiti se sa svijetom.

"Obuzeo me neizrecivi strah... pa sam nadišao svoj sram, kleknuo i počeo razgovarati s Bogom."

Stranica 1 od 3
Zanima te i ovo?