Svi znaju kako je snažna veza između majke i njezinog djeteta. Ne samo da majčinstvo mijenja nepovratno ženu mijenja fizički, mentalno i emocionalno, već i beba doslovno mijenja majčino tijelo. Dijelovi bebe zapravo mijenjaju majčine stanice i nastavljaju živjeti u majčinom tijelu još godinama.
Mnogo je toga napravljeno na temu veze između majke i djeteta, od poezija, knjiga do umjetničkih djela, ali ova snažna cjelina nikada nije bila uhvaćena na ovaj način:
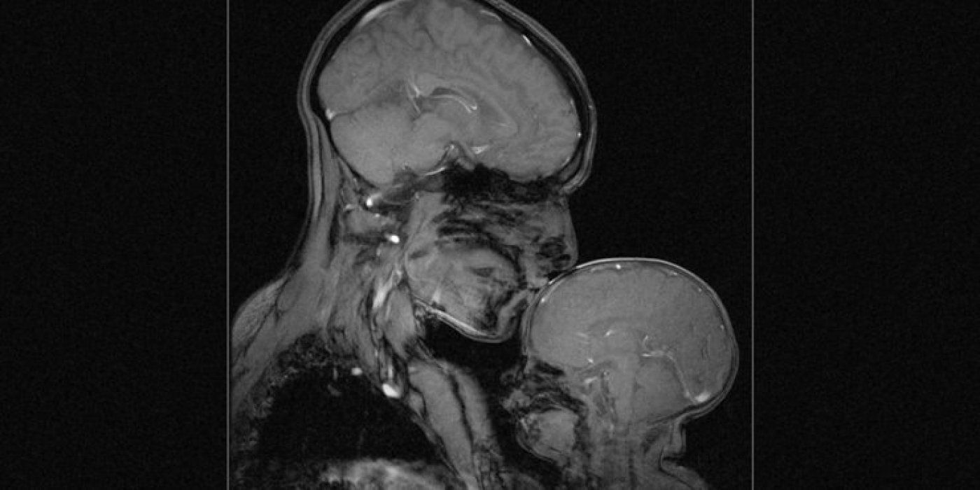
Gledate u prvu sliku magnetske rezonancije (MRI) koja prikazuje vezu majke i djeteta, a koju je snimila neuroznanstvenica Rebecca Saxe. Slika zapravo prikazuje Rebeccu i njezinog dvomjesečnog sina Percyja.
"Ovaj MRI nisam napravila u dijagnostičke svrhe, čak ni u znanstvene. Koliko sam ja upoznata, nitko dosada nije snimio MRI majke i djeteta, a ja sam htjela vidjeti kako to izgleda", objasnila je Rebecca.
Možda najneočekivaniji dio slike je kako se vide razlike između djetetovog i majčinog mozga. Bebin mozak je glatkiji i tamniji jer ima značajno manje bijele tvari. Bijela tvar ili bijela masa sastoji se od glijinih ćelija i mijelina koji prenose signale iz jedne regije u mozgu u drugu i između mozga i nižih moždanih centara, odnosno 'komuniciraju' poruke unutar mozga. Taj nedostatak mijelina gotovo kao da se čini kao stvaran vizualni primjer toga kako majke doslovno oblikuju i formiraju svoju djecu od rođenja. Način na koji govorimo, pjevamo, držimo i igramo se s bebama oblikuje temelje mozga kako dijete raste.
Kao mnoge majke, Rebecca je provela nesrazmjernu količinu vremena gledajući svoju bebu. No, zbog toga jer je kognitivna neuroznanstvenica, za nju je gledanje bebe bilo malo drugačije. Konkretno, provela je mnogo vremena gledajući kako se mozak njezine bebe razvija kroz uređaj za magnetsku rezonanciju. Proučavala je kako je očaravajuće gledati kako dječji mozak odgovara na interakciju s odraslima, kako se krvne žile proširuju u mozgu i kako protječu u odgovoru na pjesme i priče u majčinom glasu.
"Majka i dijete predstavljaju snažan simbol ljubavi i nevinosti, ljepote i plodnosti. No, ja sam neuroznanstvenica i radila sam kako bih snimila ovu sliku, ali također sam i majka u njoj, sklupčana unutar nje, zajedno sa svojim sinom", rekla je Rebecca. Uostalom, slika je fascinantna i prekrasna vizualizacija onoga što ostaje nevidljivo u našem životu, a što je ponekad - najsnažnije od svega!
Izvor: klokanica.24.sata.hr


